Dr. Saylee’s ToothCare Clinic – Trusted Family Dentist in Pimple Gurav, PCMC, Pune
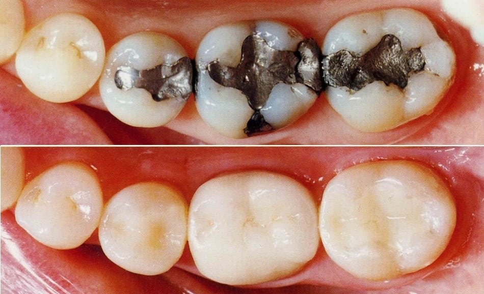
We ensure gentle, precise, and advanced cavity restoration for every patient. Our state-of-the-art techniques and materials help maintain both smile beauty and oral function.
Early and accurate diagnosis helps prevent deeper decay and future dental complications.
Aesthetic restorations that blend seamlessly with your natural teeth no visible metal.
Gentle techniques and modern equipment ensure a smooth, stress-free treatment experience.
More than 15+ years of trusted expertise delivering long-lasting dental solutions.
9309339741
Composite fillings can last 8–12 years with proper care and regular check-ups.
No. With local anesthesia and modern techniques, the process is comfortable and pain-free.
Most dental fillings are done within 30–45 minutes per tooth.
Absolutely! Composite fillings are metal-free, biocompatible, and safe for all ages, including children.