Dr. Saylee’s ToothCare Clinic – Trusted Family Dentist in Pimple Gurav, PCMC, Pune

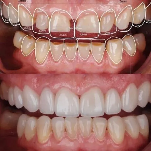
Smile Designing

It is a cosmetic dental procedure that focuses on creating a harmonious, attractive, and confident smile.

Digital smile design preview before treatment
Our Service

Smile Designing

Your smile is one of the first things people notice about you – it reflects your personality, confidence, and charm. At Tooth Care, Pimple Gurav, Dr. Saylee Mulkalwar offers Smile Designing, a customized cosmetic dental treatment that enhances the appearance of your teeth and overall smile.

Whether you have stained, chipped, uneven, or misaligned teeth, our personalized smile makeover can transform your smile into one that’s bright, symmetrical, and natural-looking.

Key Benefits of Smile Designing

Why Choose Us

Crafting Beautiful Smiles with Precision and Care

At Tooth Care, smile designing is an art backed by science. Dr. Saylee and our expert team combine modern technology with personalized planning to design smiles that look natural, healthy, and radiant.

Digital Smile Analysis

State-of-the-art imaging technology for accurate planning and flawless results.

Tailored Smile Design

Customized treatments that perfectly match your facial features and personal goals.

Cosmetic Dentistry Expertise

Years of trusted experience delivering safe, natural, and long-lasting smiles.

Confidence Redefined

A beautiful smile that enhances your appearance and uplifts your self-esteem.

Patient smiling after smile design in PCMC Pune
Need more help?

9309339741

What we offer

Symptoms That Smile Designing is Needed

Chipped or Cracked Teeth
Damaged teeth can affect both appearance and confidence.
Discolored or Stained Teeth
When regular whitening treatments aren’t enough, smile designing offers permanent solutions.
Uneven or Misshapen Teeth
Reshaping and alignment improve harmony and aesthetics.
Gaps Between Teeth
Closing visible spaces helps create a uniform, balanced smile.
Excessive Gum Display (Gummy Smile)
Corrective treatments reshape the gum line for better proportions.
Low Confidence Due to Smile Appearance
If you hesitate to smile openly, cosmetic corrections can boost self-esteem.
Your healthy smile starts here!
Skip the wait and book your dental visit with just a click. Whether it’s a routine check-up, cosmetic treatment, or specialized care, we’re here to make your experience smooth and comfortable.
Common Questions

Most Popular Questions

It’s a customized cosmetic dental treatment that improves the appearance of your teeth and creates a balanced, attractive smile.

Depending on the treatments involved (whitening, veneers, aligners, etc.), it can take anywhere from a few days to a few months.

The results are long-lasting, especially with good oral hygiene. Some procedures like whitening may require touch-ups over time.

Yes! At Tooth Care, treatments are tailored to ensure your new smile looks natural, aesthetic, and perfectly suited to your face.